Europa stimuleert slimme en schone innovaties in Oost-Nederland

Europa stimuleert slimme en schone innovaties in Oost-Nederland
Gepubliceerd op: 14-november-2025

Vier projecten in Overijssel en Gelderland ontvangen een bijdrage uit het Europees Fonds voor Regionale Ontwikkeling (EFRO).

Van duurzaam karton tot zorgrobots. Het Europees Fonds voor Regionale Ontwikkeling (EFRO) investeert 3 miljoen euro in vier slimme en duurzame innovaties in Gelderland en Overijssel. Samen met de eigen bijdragen van bedrijven een investering van 7,5 miljoen in de economie van Oost- Nederland.

HOPPA! Voor duurzaam karton

Binnen het project ‘HOPPA! HOge Prestatie PApier’ worden verschillende nieuwe biobased hulpstoffen onderzocht. Deze stoffen moeten ervoor zorgen dat papier- en karton goed recyclebaar en biologische afbreekbaar is, maar ook voldoende sterk is en goed bedrukt kan worden. Het consortium Stichting KCPK (Arnhem), NKO B.V. (Arnhem), en ICK B.V. (Rotterdam) ontvangt hiervoor een subsidiebedrag van € 165.478 de totale kosten bedragen € 472.795.

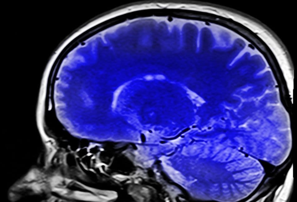
Mr Brain brengt hersenen beter in beeld

In het project ‘MR Brain’ wordt gewerkt aan een snellere en kwalitatief hoogwaardige MRI van de hersenen. Bij de huidige technologie worden neurologisch onderzoek en diagnose belemmerd door lage beeldresolutie en lange scantijden. In het project wordt een serie high-tech producten samengebracht tot één hard- en software product (plug ’n play). Het consortium Stichting Katholieke Universiteit- RU (Nijmegen), MR Coils B.V. (Zaltbommel), Screenpoint Medical B.V. (Nijmegen) en Stichting Katholieke Universiteit- Radboudumc (Nijmegen) ontvangt hiervoor een totaal subsidiebedrag van € 1.980.482 de totale kosten bedragen € 4.951.204.

Robotica in langdurende Zorg

In deze proeftuin kunnen mkb-bedrijven in een woon-/zorgomgeving samen met cliënten, mantelzorgers of professionals zorg hun robotica toetsen. Hierdoor kunnen bedrijven hun innovaties voor de langdurige zorg sneller naar de markt brengen. Ook draagt het bij aan het inzicht van de zorg-eindgebruikers, –organisaties en –verzekeraars. Dit vergroot de kans op acceptatie. Het consortium Siza innovatieprojecten B.V. (Arnhem), Mijnrobots.nl (Wijchen), Hogeschool Arnhem Nijmegen (Arnhem), Tinybots B.V. (Nijmegen), Roessingh R en D B.V. (Enschede), Gable Systems B.V. (Hengelo) en Stichting Zuyd hogeschool (Heerlen) ontvangt een totaal subsidiebedrag van € 294.720. De totale kosten bedragen € 680.099.

Meten is weten met Citizen Sccience

Consumenten, patiënten en burgers verrichten, op het terrein van voeding, gezondheid en milieu, steeds meer zelf metingen. In de proeftuin ‘Citizen Science’ worden de hiervoor benodigde mobiele en handheld- sensoren, van mkb-ers, gevalideerd. De kwaliteit van de metingen die met de sensoren van vloeistof (water, bloed, traanvocht), gas (adem, lucht), of voedingsmiddelen worden gedaan, wordt hierdoor betrouwbaar en wetenschappelijk onderbouwd. Het consortium Stichting Katholieke Universiteit (Nijmegen), Stichting Wageningen Universiteit (Wageningen), Universiteit Twente (Enschede), eNose B.V. (Zutphen), AgriFirm Group B.V. (Apeldoorn,), CBMR Scientific Nanoscience B.V. (Doornenburg), Qmicro B.V. (Enschede), Stichting Privacy by Design (Nijmegen) en TFS Europe B.V. (Nijmegen) ontvangt een subsidiebedrag van € 596.696. De totale kosten bedragen € 1.439.341.

OP-Oost 2014-2020

Om de regionale economie te stimuleren ondersteunt het Europese subsidieprogramma OP-Oost 2014-2020 projecten op het gebied van innovatie en koolstofarme economie. Het MKB is hierbij een belangrijke doelgroep.